阿倍野区でMI治療の歯医者|脇歯科医院|患者さまとのエピソード②
- 松虫駅徒歩3分
- 昭和町駅徒歩10分
- 平日20時まで診療
- 駐車場完備
お電話での問合せ
平 日 10:00-13:00/15:00-20:00
水・土 10:00-13:00
休診日:日曜・祝日
お電話での問合せ
平 日 10:00-13:00/15:00-20:00
水・土 10:00-13:00
休診日:日曜・祝日
episode2
患者さまとの
エピソード②
大阪市阿倍野区の歯医者「脇歯科医院」では、患者さまからお悩みやご要望をしっかり伺い、口腔内の状態をしっかり把握した上で、最善のご提案をしています。こちらでは、「悪習慣がひどい虫歯につながってしまった患者さま」の治療ケースをご紹介致します。
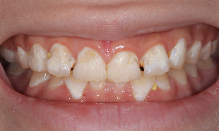
治療前

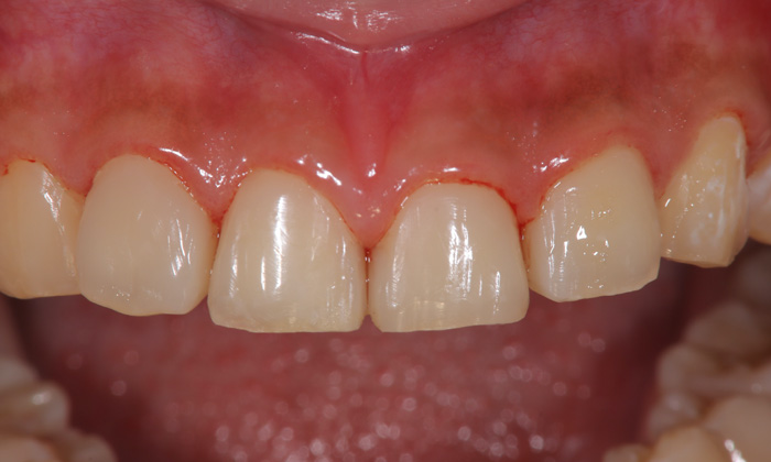
治療後

| 主訴 | 歯がボロボロで神経を取る治療が必要と言われた |
|---|---|
| 年齢 | 19歳 |
| 性別 | 女性 |
| 治療期間 | 約3ヶ月 |
| 治療費 | 保険診療 |
こちらの患者さまは、他院にて「酷い虫歯なので、うちで行う場合は神経を取る治療になります」と言われたそうです。まだ19歳でお若いこともあり神経を取ることをためらわれ、他院の歯科医師が当院への紹介状を書いてくださり、来院されました。
ご自身でも正常な歯ではなく「歯に穴があいていて変な感じ」と思われていたそうです。
患者さまの歯はとても脆くなっていて、歯が溶けて白くなっている部分もありました。食生活や嗜好品についてお話を伺ったところ、「エナジードリンクが好きで、日常的に飲んでいる」とのことでした。また、ブラッシングもあまりしていないとのことで、口腔内環境はかなり悪い状態です。
まず、悪くなった原因を明らかにするため、食生活についてお話を伺い、口腔内写真撮影など治療計画立案に必要な検査・撮影をして、1回目の診療は終了。2回目は分析結果と共に口腔内環境を整えていくことをお伝えし、まずはブラッシング指導から開始しました。
飲食指導も併せて行い、食事や間食のタイミング、エナジードリンクの本数を減らしていくように、嗜好改善についてもアドバイスも欠かしません。
その後、1ヶ月くらいは口腔内を徹底的にクリーニングしていきました。本格的な治療を行うために、歯茎から出血しない健全な状態にまで持っていくためです。


患者さまはまだ10代ということもあり、神経を取ってしまうのはいかがなものかと先に通っていた歯科医院の先生も考え、当院を紹介してくれたそうです。そのため、神経を残すことを最優先にする治療を行いました。
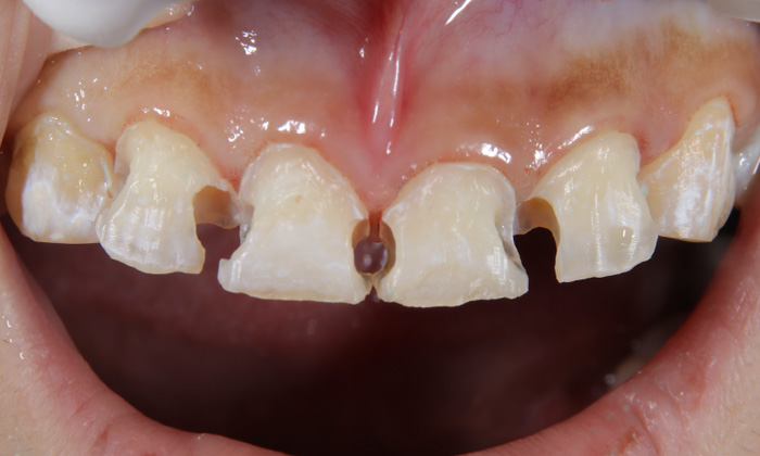
まずは悪くなっている歯質のみを削りました。写真からも分かるように、残せた健康な歯はたったこれだけしかありません。その後、直接法コンポジットレジン修復という、歯に直接素材を接着する方法を行いました。歯のすき間や表面を埋め、機能性や見た目を整えました。
今回の患者さまのように生活習慣や食生活が原因で悪くなってしまった場合、歯を治すだけでは再発する可能性が高いです。悪習慣が改善されなければ、治療を繰り返してどんどん健康な歯が失われていきます。
根本的な原因の改善がされなければ、歯は治ったとはいえません。健康的な歯やお口を維持するためには、患者さまの意識を変える適切なアドバイスや教育が必要です。今回であれば、食生活の見直しやセルフケアの徹底をお伝えし、患者さまにご理解いただくように導かなければなりません。それは、歯科治療における最小限の侵襲と健康な歯を末永く保つことにつながります。