阿倍野区でMI治療の歯医者|脇歯科医院|患者さまとのエピソード③
- 松虫駅徒歩3分
- 昭和町駅徒歩10分
- 平日20時まで診療
- 駐車場完備
お電話での問合せ
平 日 10:00-13:00/15:00-20:00
水・土 10:00-13:00
休診日:日曜・祝日
お電話での問合せ
平 日 10:00-13:00/15:00-20:00
水・土 10:00-13:00
休診日:日曜・祝日
episode3
患者さまとの
エピソード③
大阪市阿倍野区の歯医者「脇歯科医院」では、患者さまからお悩みやご要望をしっかり伺い、口腔内の状態をしっかり把握した上で、最善のご提案をしています。こちらでは、「応急処置した歯が取れたので、しっかり治療したい」とご希望の患者さまの治療ケースをご紹介します。
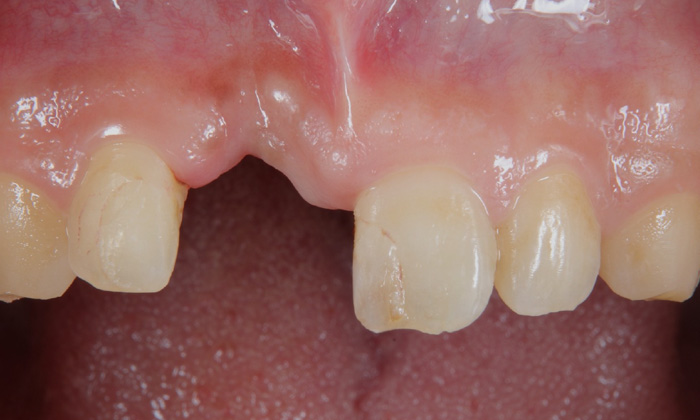
治療前

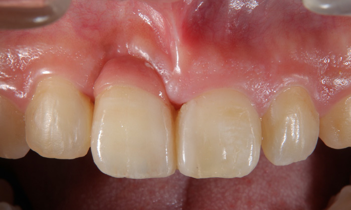
治療後

| 主訴 | 応急処置した前歯が取れてしまった |
|---|---|
| 年齢 | 30代前半 |
| 性別 | 男性 |
| 治療期間 | 3ヶ月 |
| 治療費 | 約20万円 |
こちらの患者様は、前歯が変色してグラついているということでご来院されました。子どもの頃に前歯を強くぶつけるという外傷の既往があります。実は8年前、当院にて変色した歯に人工歯を貼り付ける応急処置をされています。その後、通院はされていませんでしたが、8年の月日が経過して、応急処置した人工歯が取れてしまったのだそうです。
患者さまは学校の先生ということもあり、「生徒の手前、見た目を整えておきたい」とお悩みだったそうです。
8年前、初めてご来院された時には、前歯がかなりグラついていて、指でつまんだら取れてしまいました。患者さまの歯並びは前歯が噛み合っていない開咬ですが、奥歯はしっかりと噛み合っています。
また、ブラッシングはあまり上手ではありませんが、虫歯はそれほどない状態です。しかし、歯茎は一部失われている状態でした。
今回は再診ということもあり、また応急処置のみにされるのか、しっかり治されたいのかをお伺いすることからスタート。応急処置とはいえ8年も持ったことに患者様は信頼していただけたようで、「ここでしっかり治したい」とご希望されました。
患者さまのお気持ちを受け、まずはクリーニングによって口腔内の状態を整えてから、本格的な治療を開始しました。

まず、顔貌検査を行って適切な前歯の位置を特定しました。患者さまの場合、歯の大きさが足りず、上下の歯で中心が合いません。また、歯茎をつくらないときれいに整えられないことが分かりました。
インプラントにて歯を作る方法もありますが、治療期間や侵襲、治療費などから患者さまはブリッジによる治療をご希望されました。また、MIの治療をしたいとのことで、接着ブリッジという方法で治療を進めることに。
歯茎が一部失われていたので、歯茎付きのブリッジを製作し、隣の歯の裏に接着しました。歯の大きさを合わせるため、片方の前歯にはダイレクトボンディングによりレジンを埋め、バランスを整えていきます。
治療後、患者さまのお口の健康に対する意識が変化し、セルフケアもしっかりされるようになりました。術後5年経過していますが、定期検診の重要性もご理解いただけて、4ヶ月に1回のメインテナンスにお越しくださっています。
また、当院をご信頼いただき、奥さまやお子さまも当院に通ってくださっています。